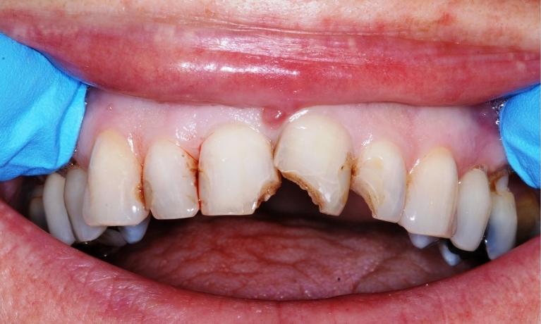
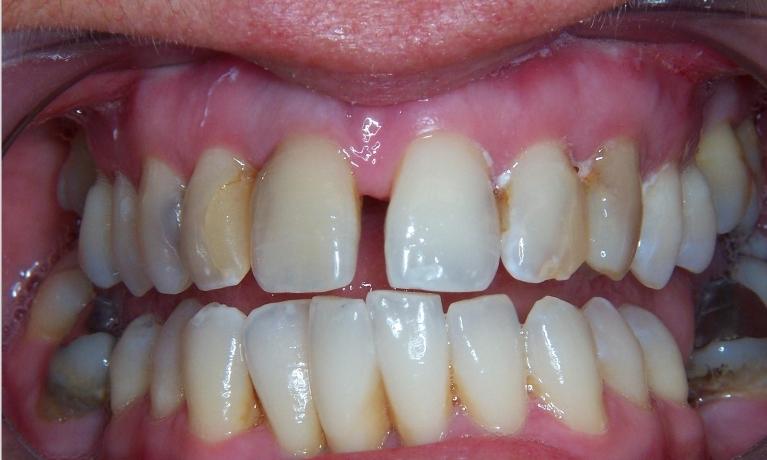
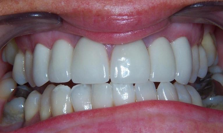
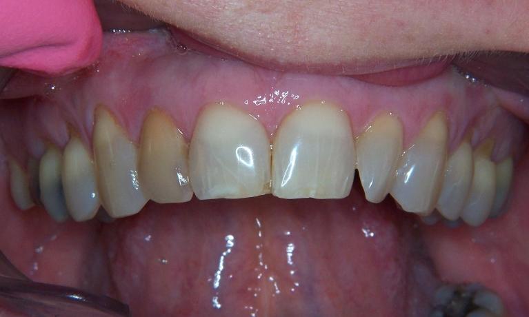
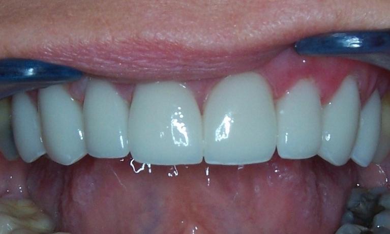
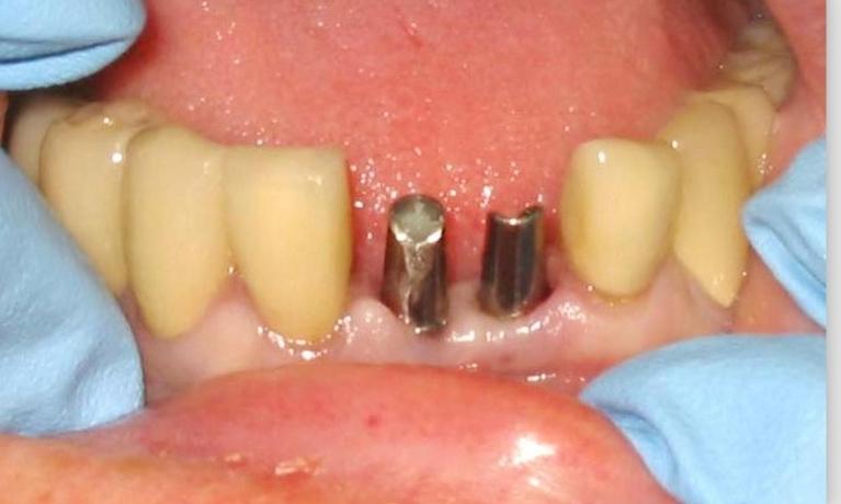
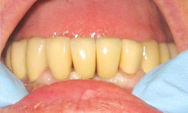
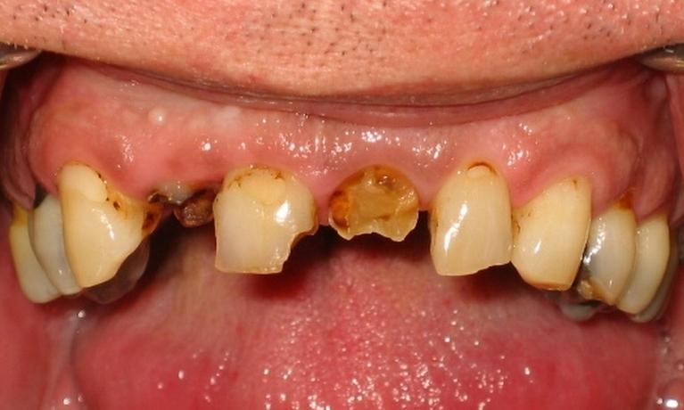
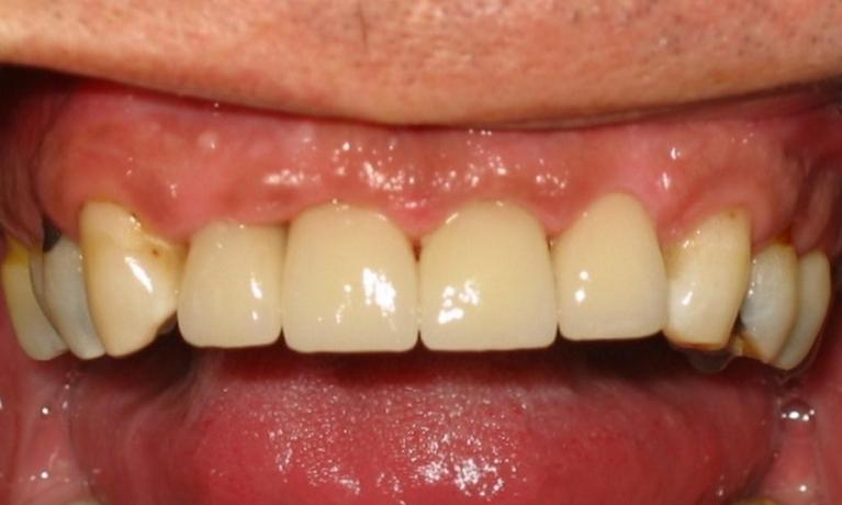
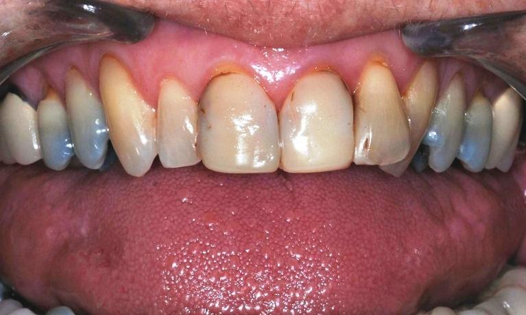
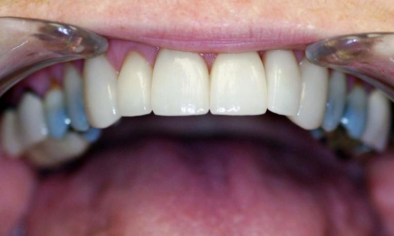
We'll happily tell you all about the great work we do with our patients, but we know that a picture tells you more about what we can do than any number of words can! If you are considering a smile makeover or any other type of transformative procedure, please take a look through our smile gallery to see the changes we've made for our actual patients.
This is Peggy Pugh and I’m calling to give my full recommendation to Ponce DeLeon Family Dentistry. After many years of being told that I should have my jaw broken, I went and saw Dr. Danny Haeussner and he told me that he thought he could help me and make them straighter, whiter, and help me with my bite. So he did what I was not expecting. I am now able to chew and bite chopped foods, he made my smile much brighter and I was very pleased with the office and the kindness and just the friendliness of everyone there. He put braces on my teeth and made it where my teeth are aligned. I have more teeth that hit when I bite, where I used to just have one tooth on the top and one tooth on the bottom that hit and wasn’t able to chew. I can now chew on both sides. He made my smile brighter, straighter, whiter, and I’ve always loved smiling but now I enjoy the smiling because I know my teeth look so much better. I had a bicycle accident when I was a young child and was well into my forties, closer to 50 when I got my teeth fixed and I thank Danny and his office for all of that.
 
 
 
 
 
 
 
 
 
 
 
 
 
 
 
 
 
 
 
 
 
 
 
