Skip to main content

"I can’t say enough about Dr. Haeussner as a person and a dentist. He is wonderful. He takes the time to listen to my concerns. He is by far the best dentist I have ever seen. The entire team at Ponce deLeon Family Dentistry is amazing. I’ve recommended this office to family members, friends and coworkers. It is the friendliest, cleanest, and most state of the art dentist office I have ever been to; top of the line all the way. I would never go anywhere else. Thank you! ~Jill"

READ MORE TESTIMONIALS
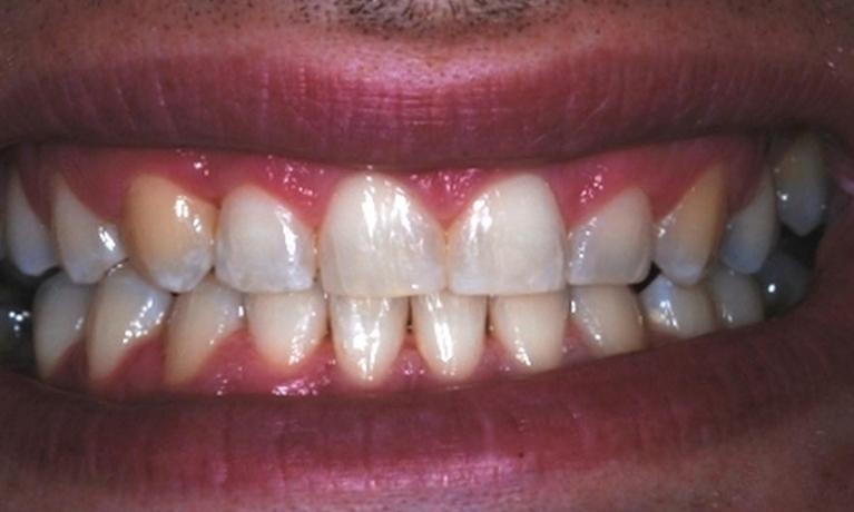
Smile Makeovers
A healthy, beautiful smile starts here

Smile Makeovers | Dentist
Improve your smile today – call to schedule a consultation!
Claim Now!

Smile Makeovers

Your smile is your calling card. The health of your smile is obviously important, but it’s crucial that you feel good about the way your smile looks, too. People will form a lot of their early impressions about you based on the appearance of your smile. If you’re embarrassed about your smile and don’t feel confident showing it off, you might give off the impression of being unfriendly or standoffish – even when that couldn’t be further from the truth.

If your smile needs some extra help to look its best, that’s okay. Our St. Augustine dental office offers many options that can be used individually or in conjunction to give you a smile that you are excited about!

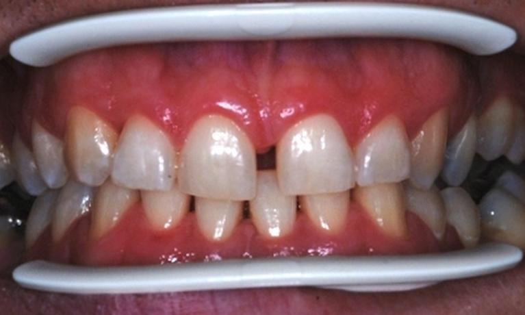
Which Treatments Will Improve Your Smile?

During a smile makeover, we will focus on treatments that will improve both the health and the appearance of your teeth. You may need just one of these treatments, or you may need several.

Porcelain veneers – Veneers can be used individually or you may opt for a full set. These thin shells of tooth-colored porcelain fit right over the front of each tooth to completely transform its appearance. Veneers are often the secret behind the smiles that grace the red carpet.

Crowns – Teeth that have structural damage may benefit from the use of porcelain crowns, which we can craft right here in our office using the CEREC system.

Orthodontics – You’ll be amazed at what a difference treatment with orthodontics can make. In addition to traditional braces, we also offer short-term braces that work their magic in six months or less, as well as invisible braces, which allow you to straighten your teeth without anyone ever noticing!

Teeth whitening – Dark-colored foods and drinks leave their mark on your teeth over as time. Plus, the aging process wears down your enamel, allowing the yellowish dentin beneath to show through. Whitening your teeth will give you a brighter, more beautiful smile.

Dental implants – A missing tooth is an obvious detraction from an otherwise lovely smile. Implants allow us to replace missing teeth with lookalikes that are almost impossible to distinguish from the real thing.

Is a Smile Makeover Affordable?

If several procedures are in your future, we can discuss options like staging so that we treat one issue at a time, which makes your dental care more affordable and easier to fit into your budget. Many of these treatments are also covered by dental coverage, although this varies by plan. We’ll look at your coverage and help you understand it better so that you know what to expect.

If you are uninsured or need procedures that aren’t covered by your insurance plan, don’t worry. We still have ways to help you get the treatment you need. For example, we accept CareCredit and CitiHealth Card, two health care credit card plans that allow you to pay for your care in easy monthly payments.

Schedule Your Consultation Today

We’d love to help you have the healthy, attractive smile you’ve always wanted. Please call us today so that we can discuss the possibilities! 

Peggy P - "now I enjoy smiling"

This is Peggy Pugh and I’m calling to give my full recommendation to Ponce DeLeon Family Dentistry. After many years of being told that I should have my jaw broken, I went and saw Dr. Danny Haeussner and he told me that he thought he could help me and make them straighter, whiter, and help me with my bite. So he did what I was not expecting. I am now able to chew and bite chopped foods, he made my smile much brighter and I was very pleased with the office and the kindness and just the friendliness of everyone there. He put braces on my teeth and made it where my teeth are aligned. I have more teeth that hit when I bite, where I used to just have one tooth on the top and one tooth on the bottom that hit and wasn’t able to chew. I can now chew on both sides. He made my smile brighter, straighter, whiter, and I’ve always loved smiling but now I enjoy the smiling because I know my teeth look so much better. I had a bicycle accident when I was a young child and was well into my forties, closer to 50 when I got my teeth fixed and I thank Danny and his office for all of that.

Frequently Asked Questions

Each dental plan is different in what treatment they will cover and what percentage of the treatment will be covered. Some plans may cover a treatment completely while others expect their customers to pay for the same treatment out of pocket. Generally speaking, most plans have the best coverage for preventive services but don't cover cosmetic treatments (although that might vary depending on the circumstances behind the need for the treatment). 

In any case, we are more than happy to review your insurance plan with you, help you understand what is covered and what isn't, and estimate any out-of-pocket costs. You will usually need to pay a copay at the very least and this is due at the time of treatment. 

For our patients without insurance, we have several options to help you pay for the dental care you need. We accept both CareCredit and CitiHealth Card, two health care credit cards that allow you to break up your larger treatment costs into smaller monthly payments. We also offer an in-house financing plan, and we are happy to discuss this plan with you. Just give us a call at (904) 797-9009 to learn more about our financing plan or to ask any questions about your coverage. 

Meet Our Doctor:

T. Daniel Haeussner, DMD

Dr. Haeussner has lived in Northeast Florida since 1975. Dentistry runs in his family! His father was a dentist, his mother is a dental hygienist, and his brother is also a dentist. 

After graduating from Bishop Kenny High School, Dr. Haeussner received his undergraduate degree from his beloved University of Florida. He is very proud of his Gator education and bleeds orange and blue. He then went on to graduate from the University of Louisville School of Dentistry, where he obtained an excellent education and also learned to appreciate the mild ...

Getting an appointment is fast and easy!
Get Started!